PÁGINA PRINCIPAL
CASOS
BLOG
CONTATO
'
PÁGINA PRINCIPAL
CASOS
BLOG
CONTATO
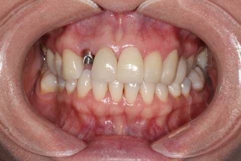
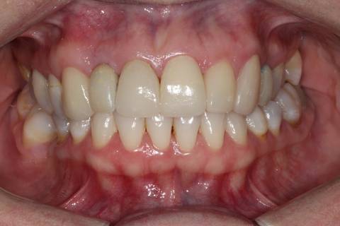
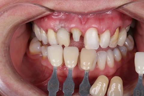
IMPLANTES
E.C.P.
699
visualizações
0
curtidas
Quem viu também curtiu
Veja mais
G.F.S.A.
IMPLANTES
Veja mais
Veja mais
E.G.S.
IMPLANTES
Veja mais
Veja mais
A.C.S.S.
IMPLANTES
Veja mais