PÁGINA PRINCIPAL
CASOS
BLOG
CONTATO
'
PÁGINA PRINCIPAL
CASOS
BLOG
CONTATO
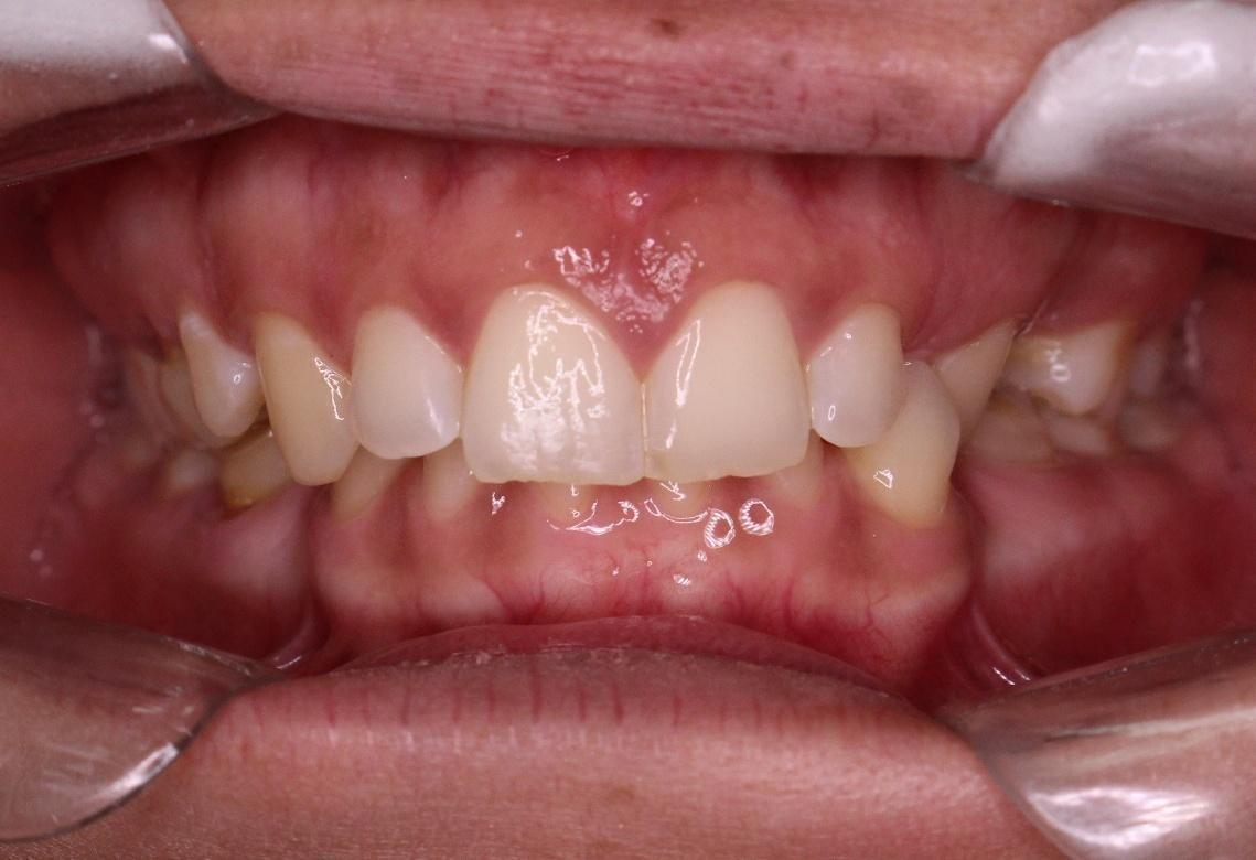
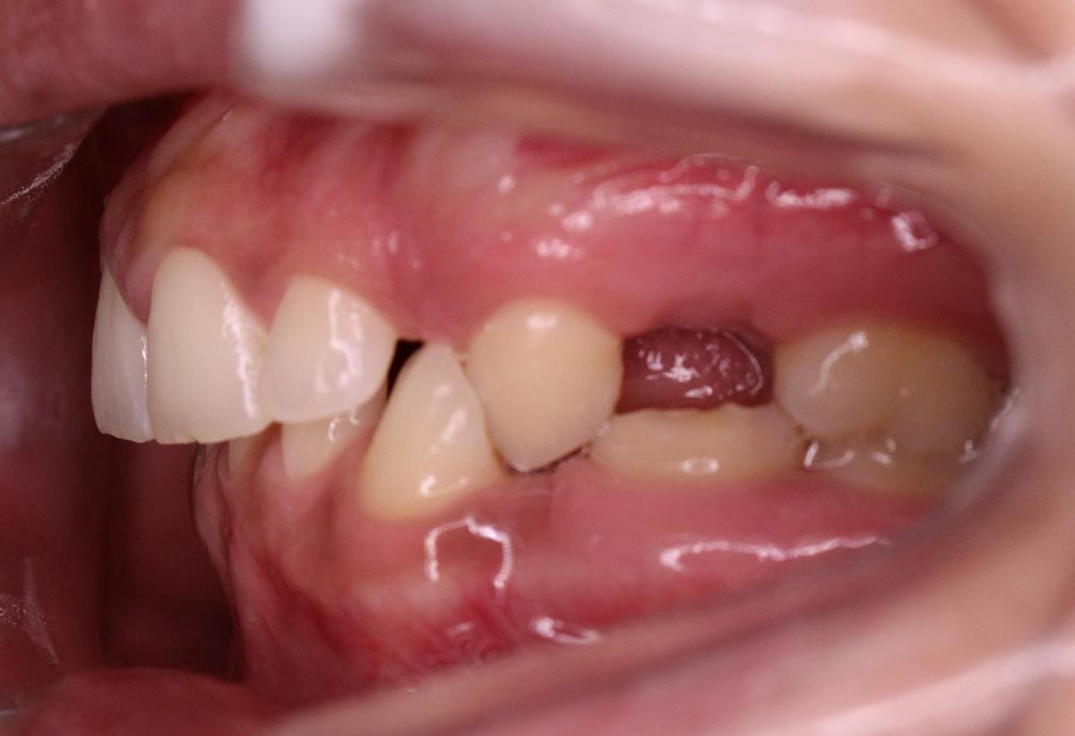
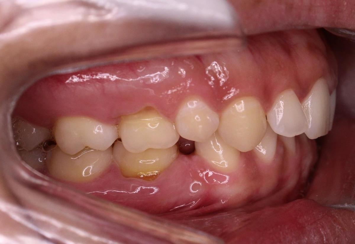
IMPLANTES
25/Junho/2020
N.R.P.M.
565
visualizações
0
curtidas
Quem viu também curtiu
Veja mais
C.M.M.
IMPLANTES
Veja mais
Veja mais
M.R.T.
IMPLANTES
Veja mais
Veja mais
G.F.S.A.
IMPLANTES
Veja mais