PÁGINA PRINCIPAL
CASOS
BLOG
CONTATO
'
PÁGINA PRINCIPAL
CASOS
BLOG
CONTATO
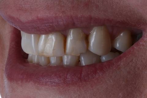
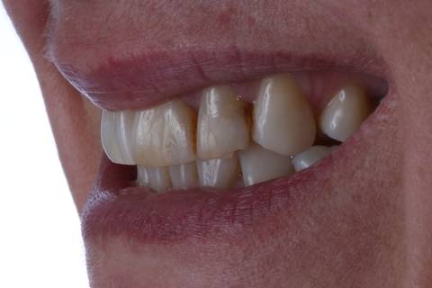
LENTES DE CONTATO DENTAIS EM PORCELANA
19/Setembro/2017
A.L.F.
599
visualizações
0
curtidas
Quem viu também curtiu
Veja mais
C.H.H.
LENTES DE CONTATO DENTAIS EM PORCELANA
Veja mais
Veja mais
B.F.S.
LENTES DE CONTATO DENTAIS EM PORCELANA
Veja mais
Veja mais
E.A.M.T.
LENTES DE CONTATO DENTAIS EM PORCELANA
Veja mais