PÁGINA PRINCIPAL
CASOS
BLOG
CONTATO
'
PÁGINA PRINCIPAL
CASOS
BLOG
CONTATO
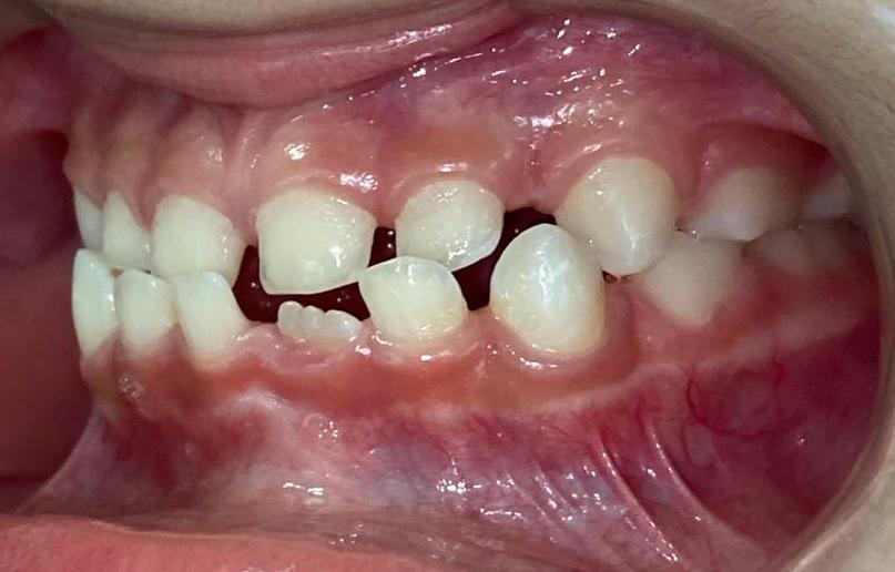
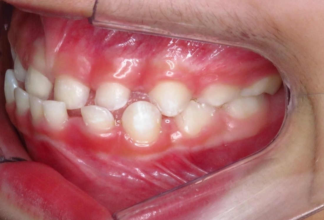
ORTODONTIA MIOFUNCIONAL
R.P.B.
380
visualizações
0
curtidas
Quem viu também curtiu
Veja mais
I.C.G.
ORTODONTIA MIOFUNCIONAL
Veja mais
Veja mais
M.N.P.C.
ORTODONTIA MIOFUNCIONAL
Veja mais
Veja mais
L.M.N.
ORTODONTIA MIOFUNCIONAL
Veja mais