PÁGINA PRINCIPAL
CASOS
BLOG
CONTATO
'
PÁGINA PRINCIPAL
CASOS
BLOG
CONTATO
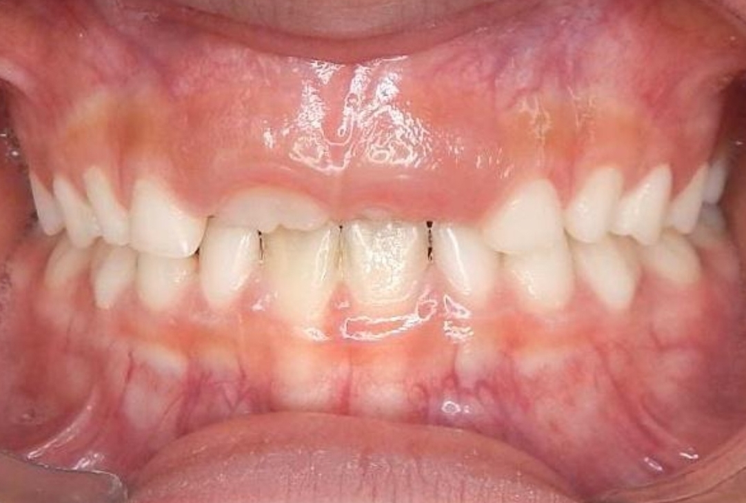
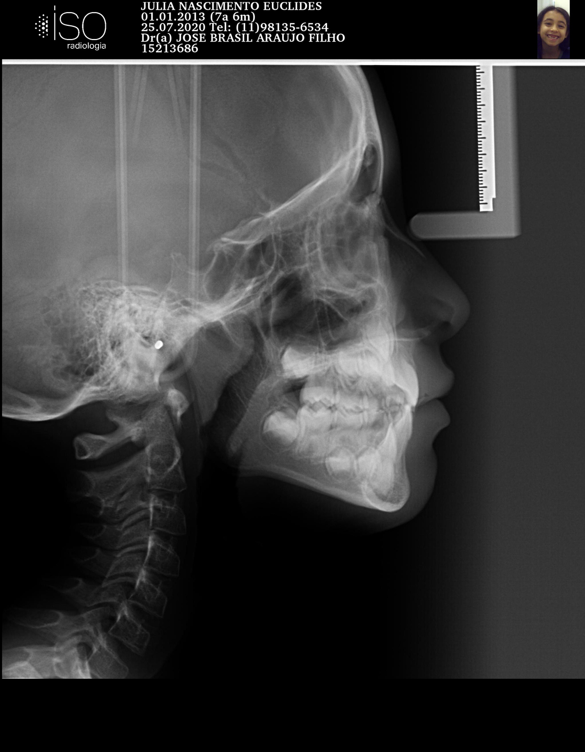
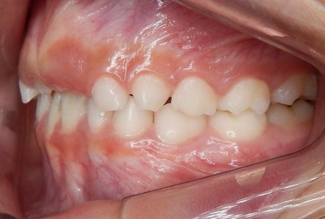
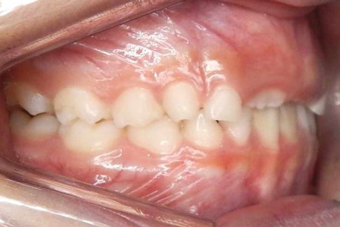
ORTODONTIA MIOFUNCIONAL
J.N.E.
390
visualizações
0
curtidas
Quem viu também curtiu
Veja mais
J.Y.B.K.
ORTODONTIA MIOFUNCIONAL
Veja mais
Veja mais
L.M.N.
ORTODONTIA MIOFUNCIONAL
Veja mais
Veja mais
R.P.B.
ORTODONTIA MIOFUNCIONAL
Veja mais