PÁGINA PRINCIPAL
CASOS
BLOG
CONTATO
'
PÁGINA PRINCIPAL
CASOS
BLOG
CONTATO
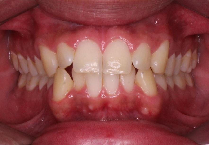
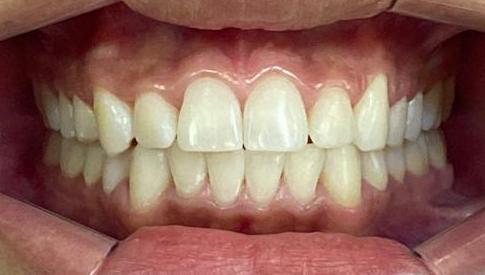
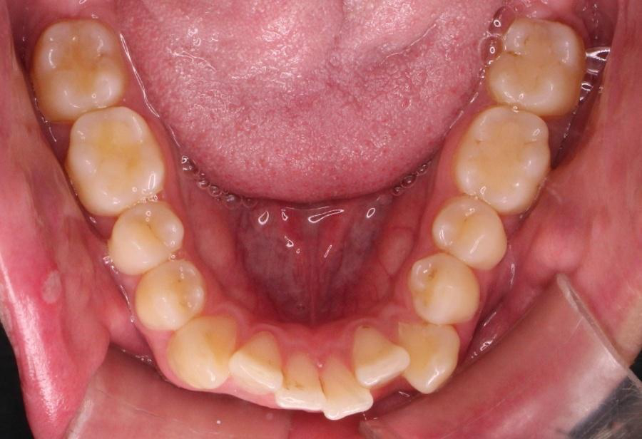
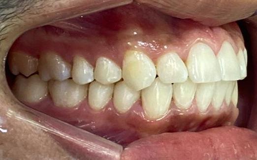
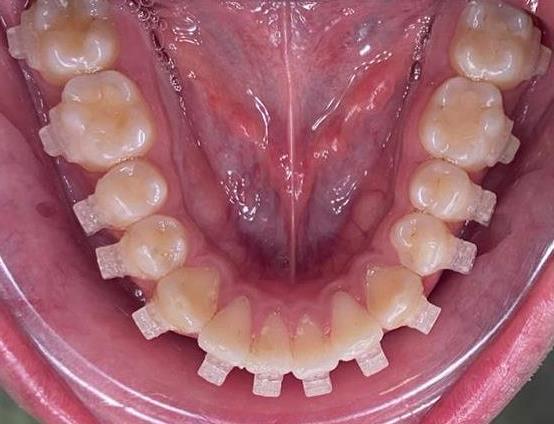
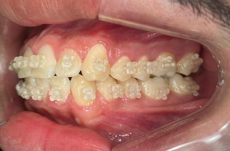
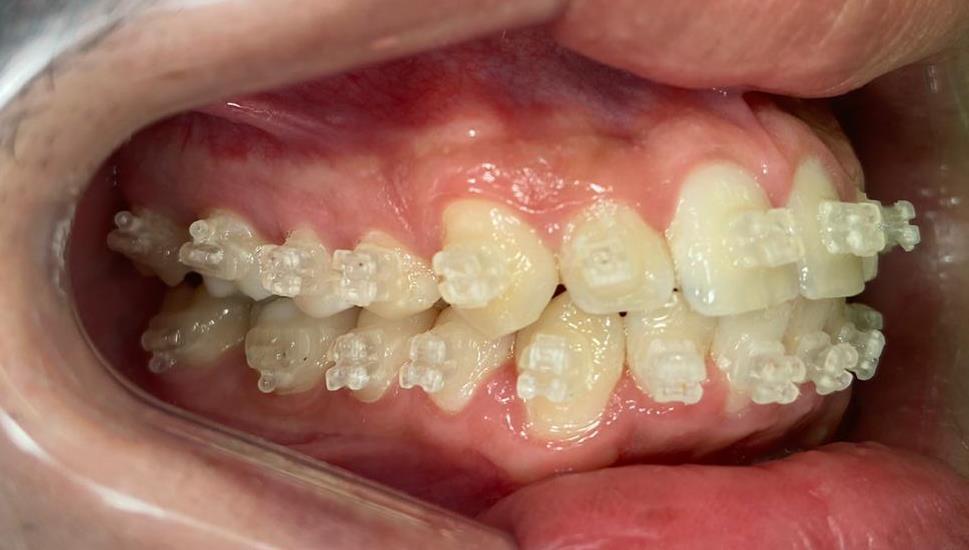
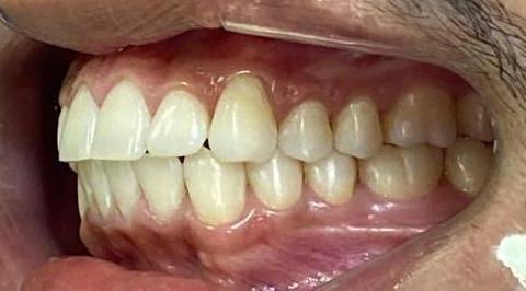
ORTODONTIA
L.R.C.
435
visualizações
0
curtidas
Quem viu também curtiu
Veja mais
E.A.C.
ORTODONTIA
Veja mais
Veja mais
A.C.C.S.
ORTODONTIA
Veja mais
Veja mais
R.A.S.
ORTODONTIA
Veja mais