PÁGINA PRINCIPAL
CASOS
BLOG
CONTATO
'
PÁGINA PRINCIPAL
CASOS
BLOG
CONTATO
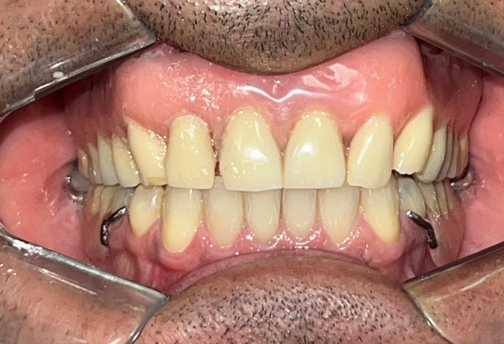
PRÓTESE TOTAL FIXA EM IMPLANTES
15/Dezembro/2025
C.B.D.S.
68
visualizações
0
curtidas
Quem viu também curtiu
Veja mais
M.V.C.
PRÓTESE TOTAL FIXA EM IMPLANTES
Veja mais
Veja mais
M.A.V.J.
PRÓTESE TOTAL FIXA EM IMPLANTES
Veja mais
Veja mais
J.M.L.S
PRÓTESE TOTAL FIXA EM IMPLANTES
Veja mais