PÁGINA PRINCIPAL
CASOS
BLOG
CONTATO
'
PÁGINA PRINCIPAL
CASOS
BLOG
CONTATO
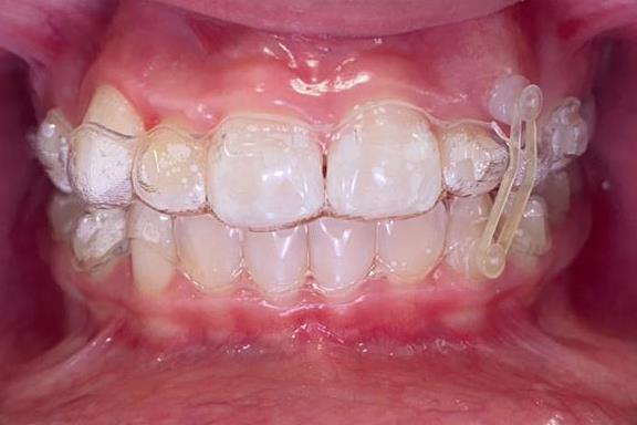
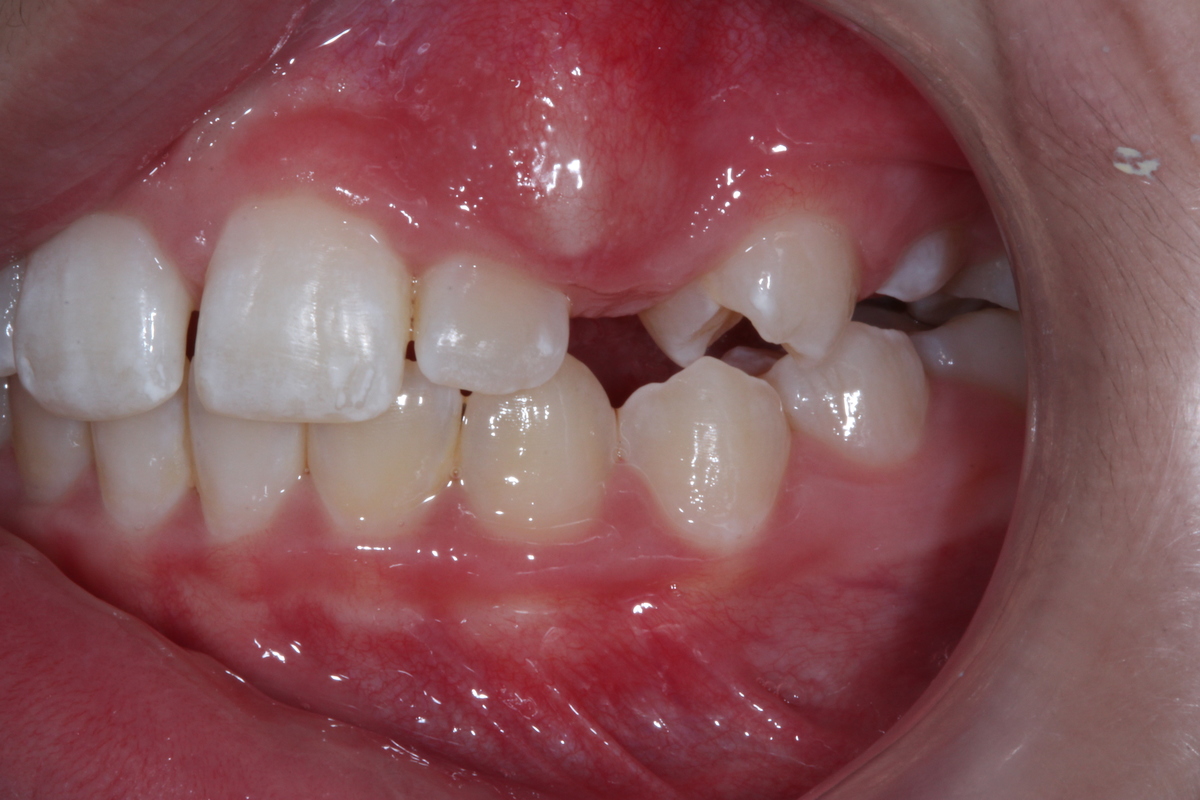
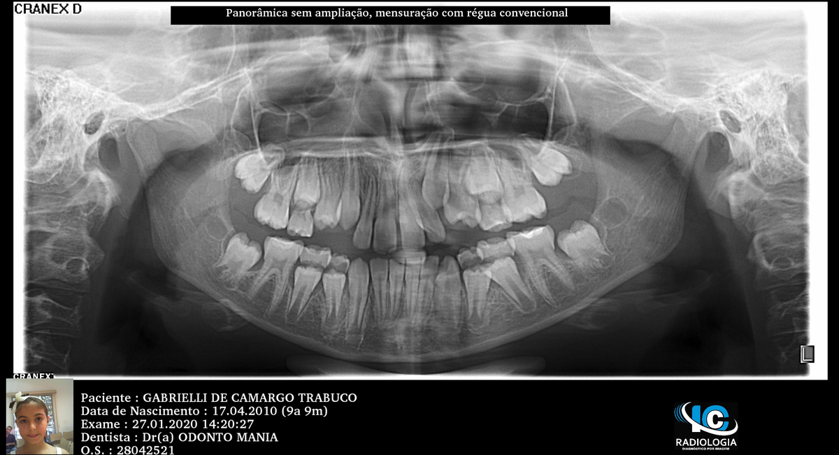
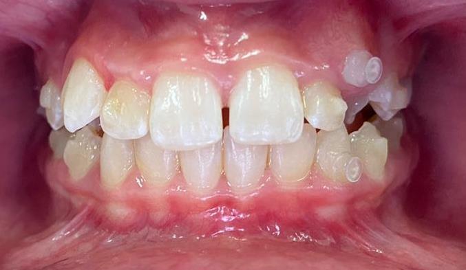
INVISALIGN
G.C.T.
536
visualizações
0
curtidas
Quem viu também curtiu
Veja mais
F.R.V.
INVISALIGN
Veja mais
Veja mais
L.F.S.P.
INVISALIGN
Veja mais
Veja mais
J.R.R.G.
INVISALIGN
Veja mais