PÁGINA PRINCIPAL
CASOS
BLOG
CONTATO
'
PÁGINA PRINCIPAL
CASOS
BLOG
CONTATO
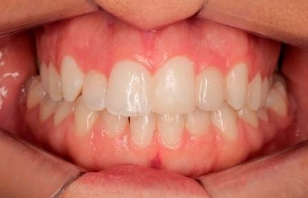
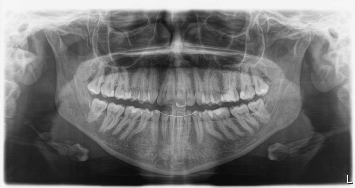
INVISALIGN
J.C.P.
493
visualizações
0
curtidas
Quem viu também curtiu
Veja mais
L.F.S.P.
INVISALIGN
Veja mais
Veja mais
S.S.G.
INVISALIGN
Veja mais
Veja mais
G.C.T.
INVISALIGN
Veja mais