PÁGINA PRINCIPAL
CASOS
BLOG
CONTATO
'
PÁGINA PRINCIPAL
CASOS
BLOG
CONTATO
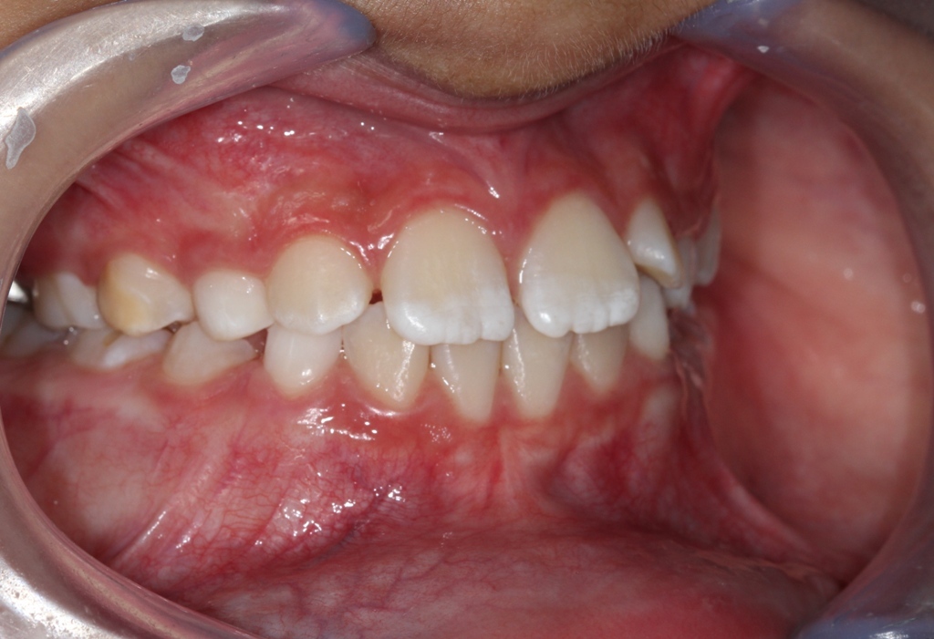
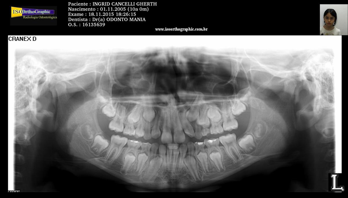
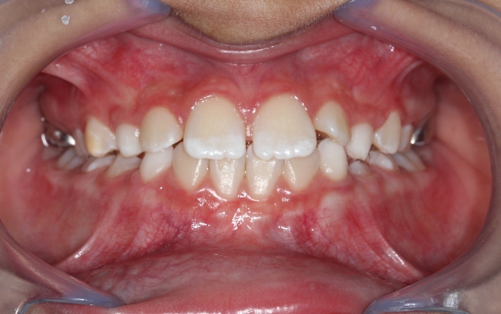
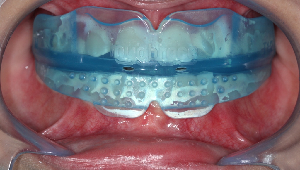
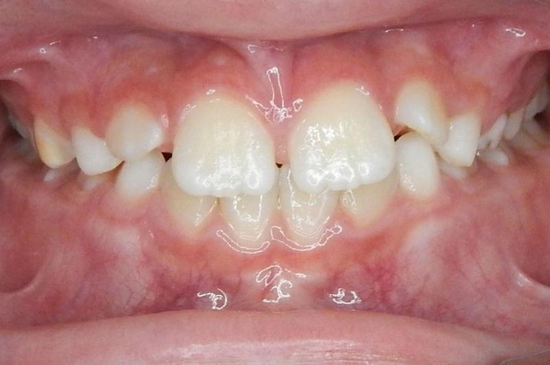
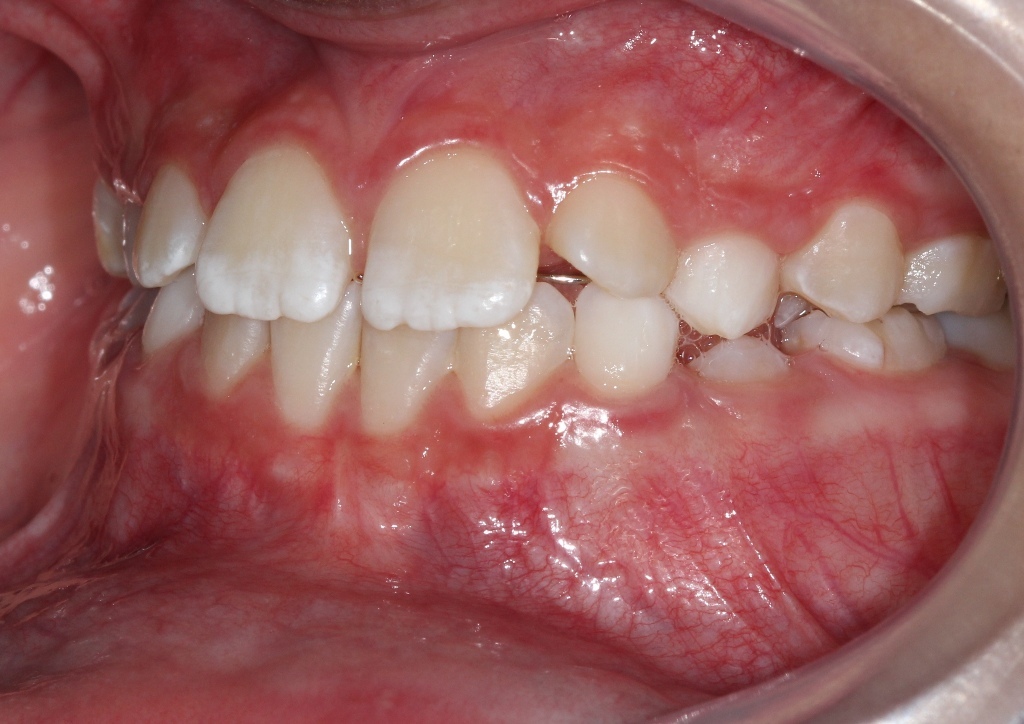
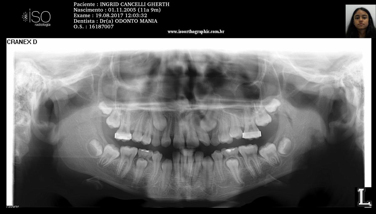
ORTODONTIA MIOFUNCIONAL
I.C.G.
355
visualizações
0
curtidas
Quem viu também curtiu
Veja mais
M.N.P.C.
ORTODONTIA MIOFUNCIONAL
Veja mais
Veja mais
J.Y.B.K.
ORTODONTIA MIOFUNCIONAL
Veja mais
Veja mais
R.P.B.
ORTODONTIA MIOFUNCIONAL
Veja mais