PÁGINA PRINCIPAL
CASOS
BLOG
CONTATO
'
PÁGINA PRINCIPAL
CASOS
BLOG
CONTATO
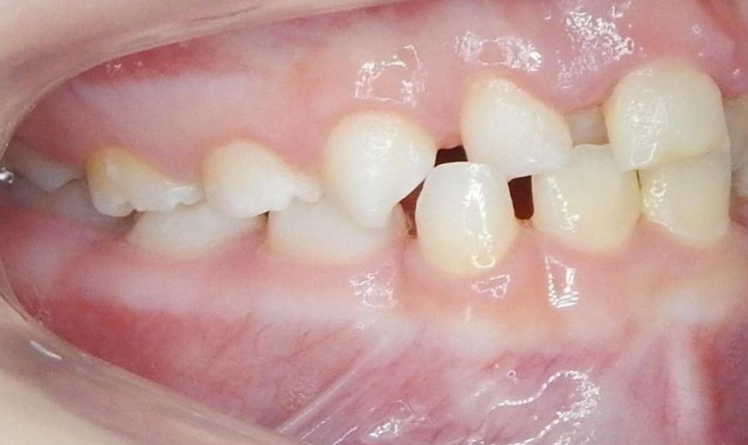
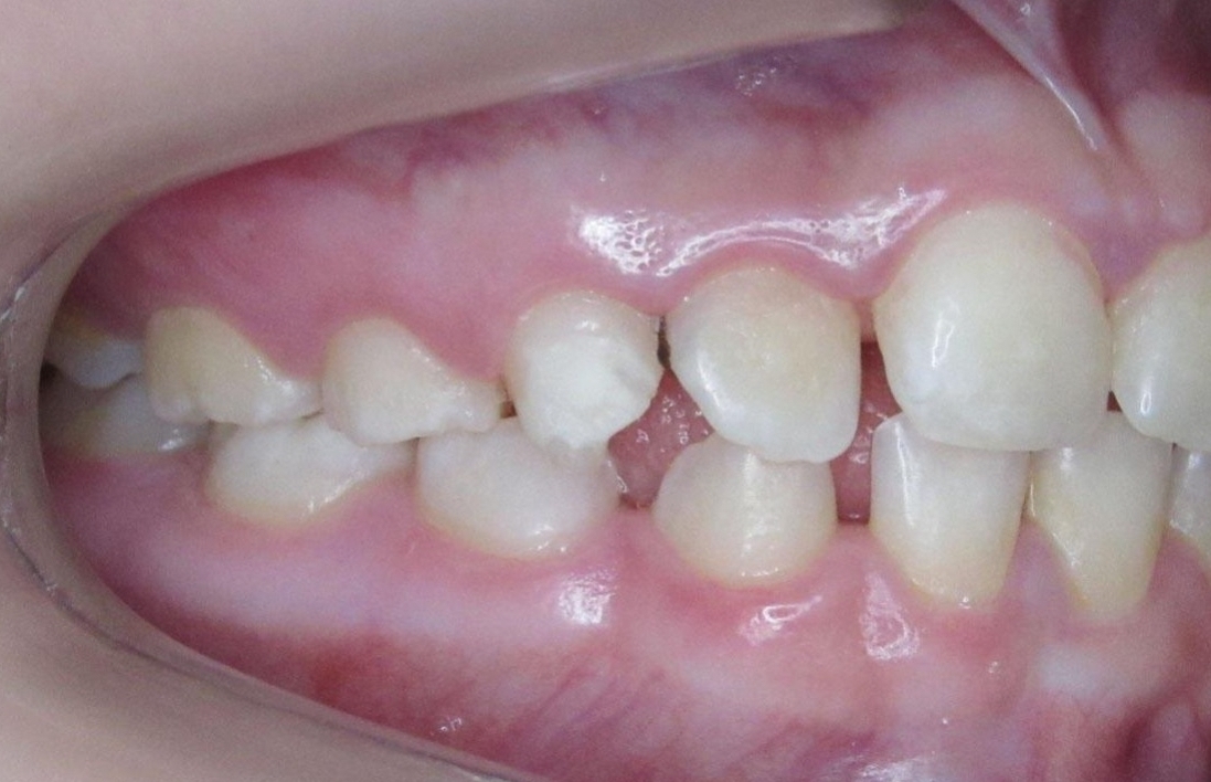
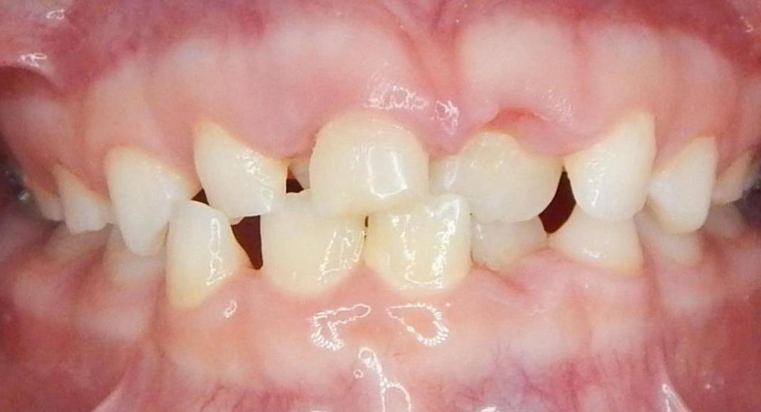
ORTODONTIA MIOFUNCIONAL
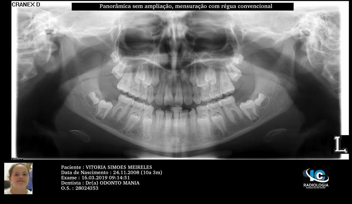
V.S.M.
636
visualizações
0
curtidas
Quem viu também curtiu
Veja mais
V.R.C.
ORTODONTIA MIOFUNCIONAL
Veja mais
Veja mais
J.Y.B.K.
ORTODONTIA MIOFUNCIONAL
Veja mais
Veja mais
L.M.N.
ORTODONTIA MIOFUNCIONAL
Veja mais