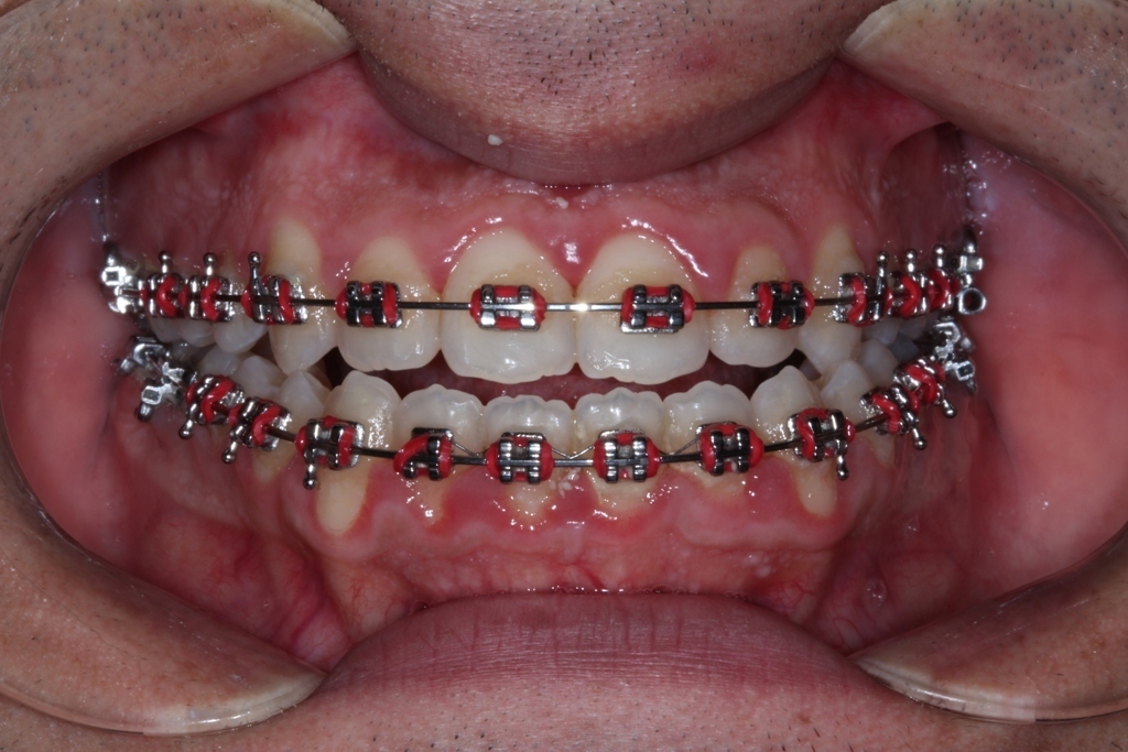
ORTODONTIA 16/Janeiro/2019 F.H.P.F. (Cirurgia Ortognática) - Em tratamento 679 visualizações 0 curtidas