PÁGINA PRINCIPAL
CASOS
BLOG
CONTATO
'
PÁGINA PRINCIPAL
CASOS
BLOG
CONTATO
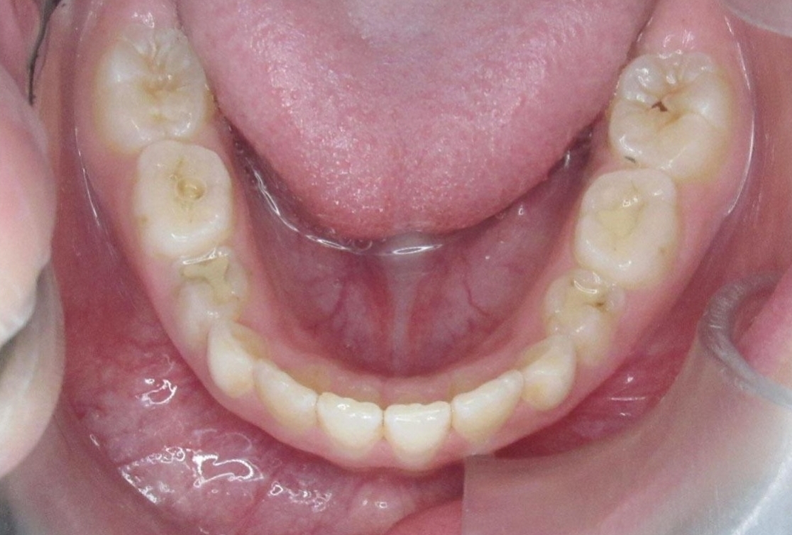
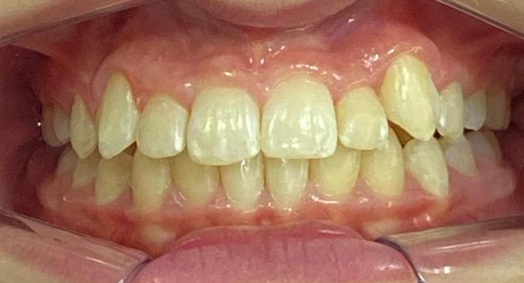
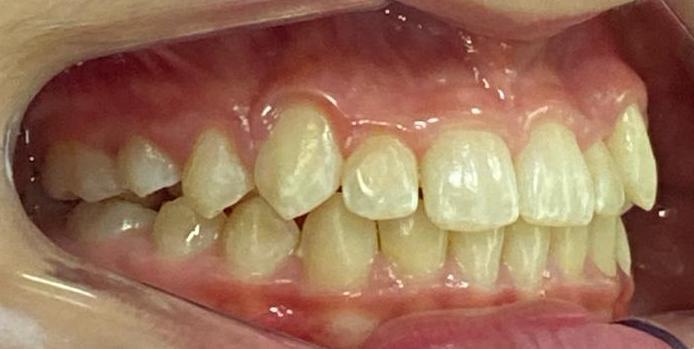
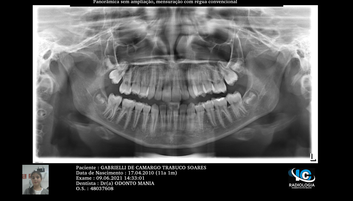
ORTODONTIA
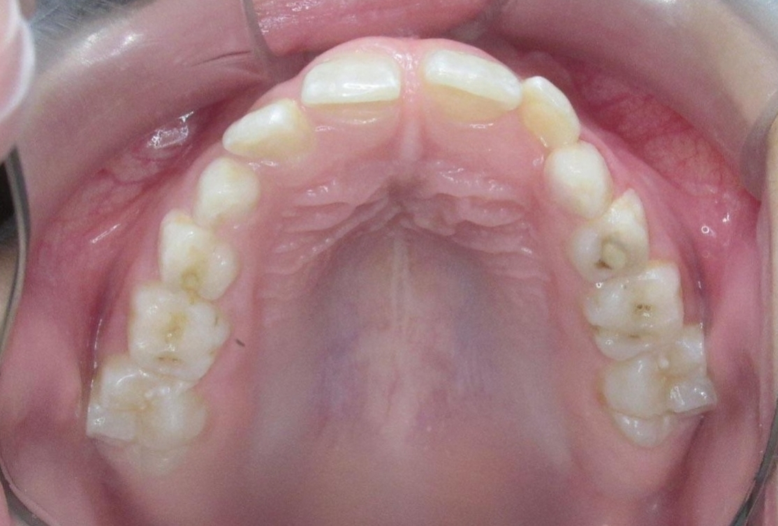
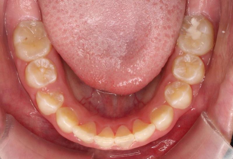
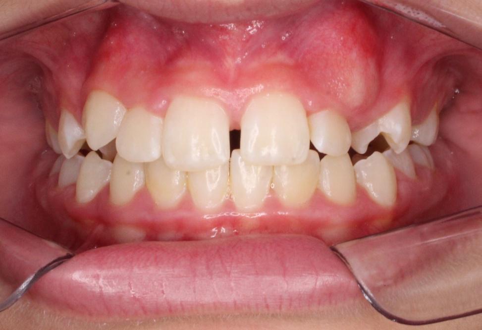
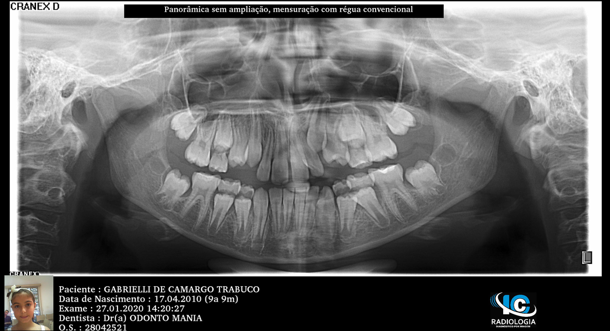
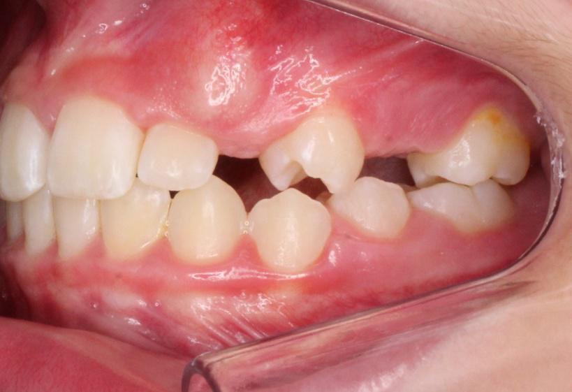
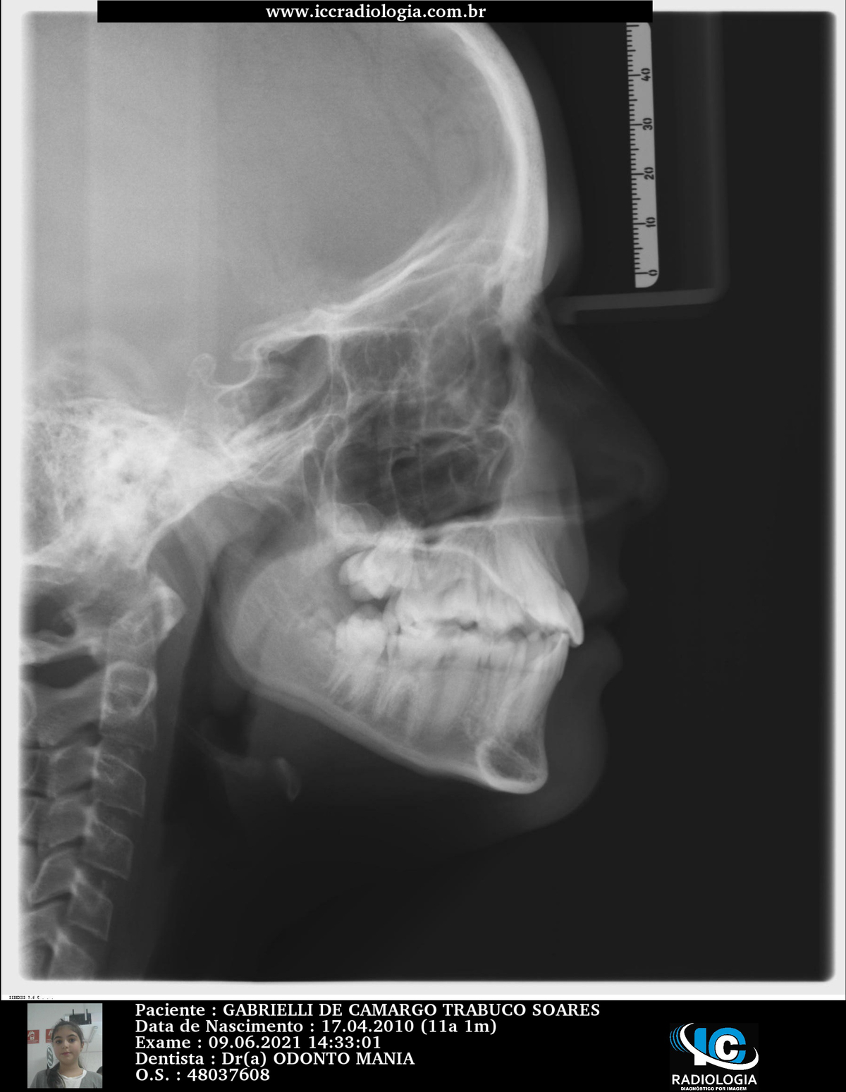
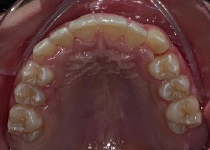
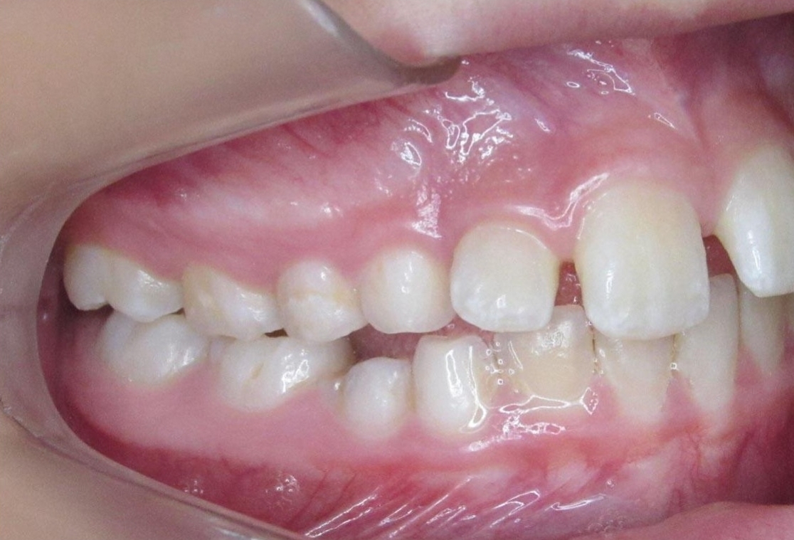
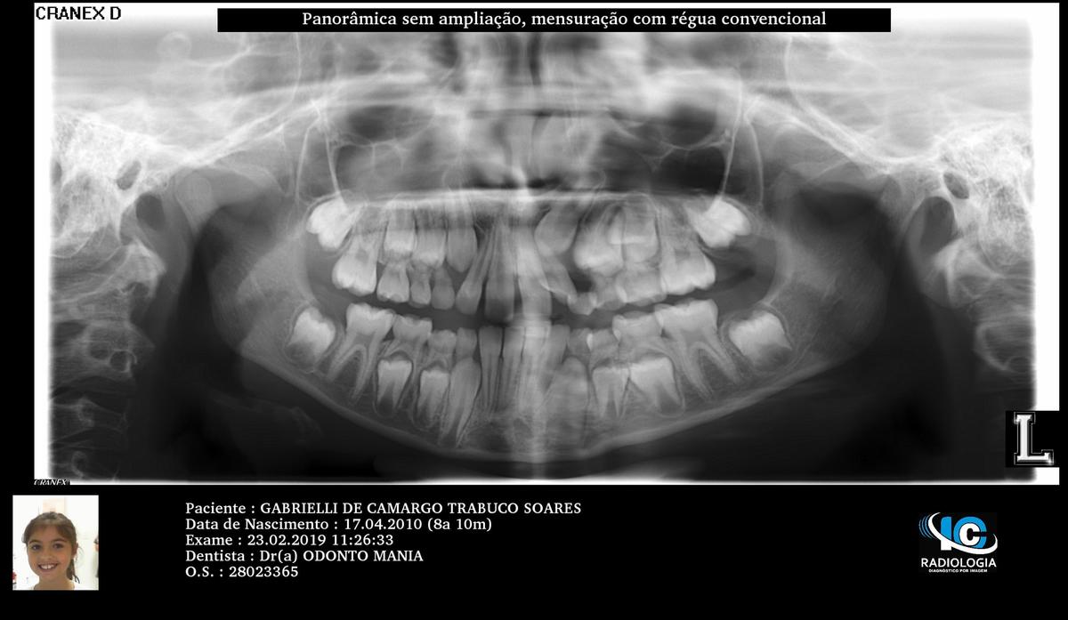
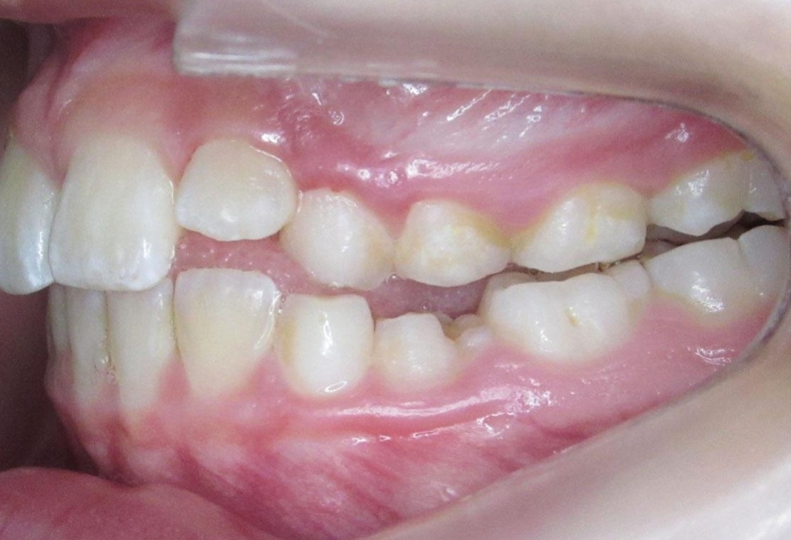
G.C.T.S. - Em Tratamento
497
visualizações
0
curtidas
Quem viu também curtiu
Veja mais
G.O.S.J.
ORTODONTIA
Veja mais
Veja mais
M.A.B. - Em Tratamento
ORTODONTIA
Veja mais
Veja mais
A.D.F.
ORTODONTIA
Veja mais