PÁGINA PRINCIPAL
CASOS
BLOG
CONTATO
'
PÁGINA PRINCIPAL
CASOS
BLOG
CONTATO
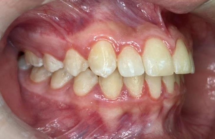
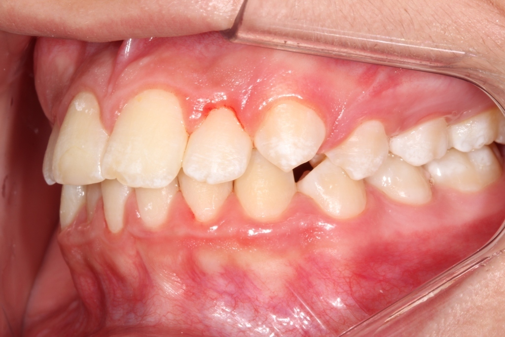
ORTODONTIA
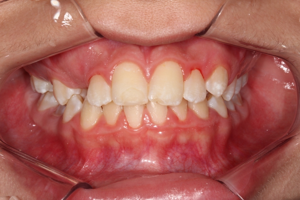
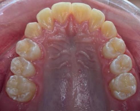
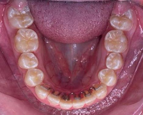
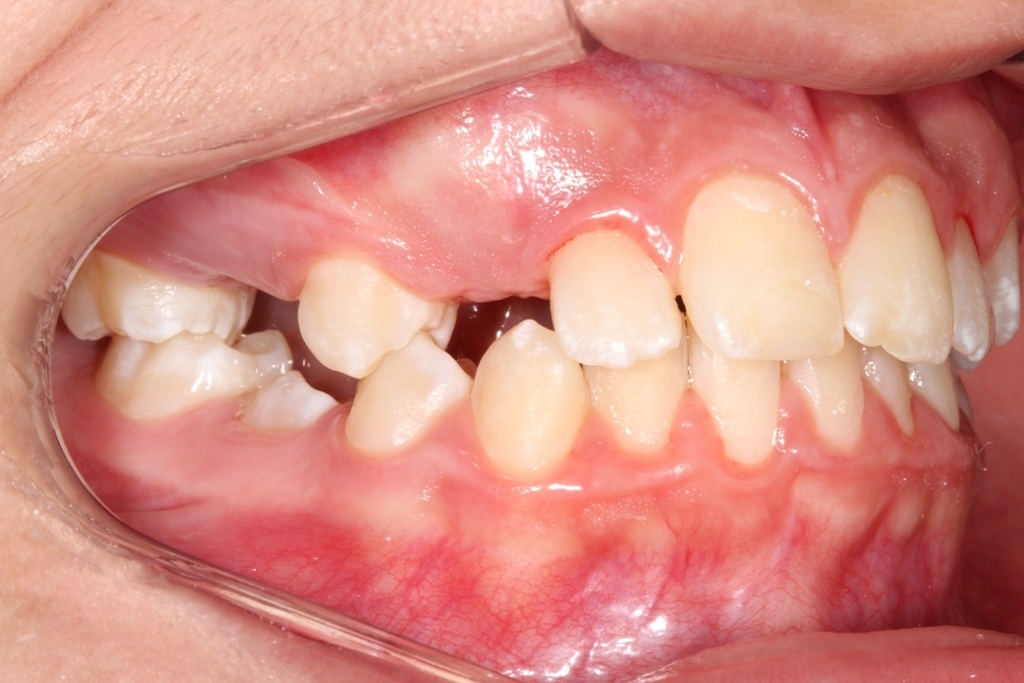
A.C.C.S.
420
visualizações
1
curtidas
Quem viu também curtiu
Veja mais
B.F.R.
ORTODONTIA
Veja mais
Veja mais
L.R.C.
ORTODONTIA
Veja mais
Veja mais
B.P.M.
ORTODONTIA
Veja mais