PÁGINA PRINCIPAL
CASOS
BLOG
CONTATO
'
PÁGINA PRINCIPAL
CASOS
BLOG
CONTATO
ORTODONTIA
12/Abril/2019
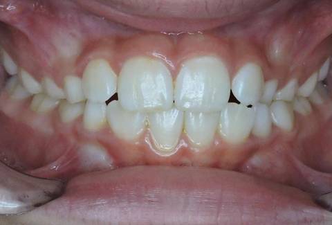
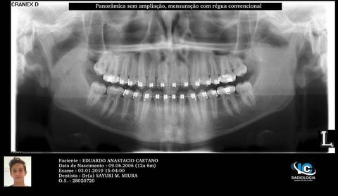
E.A.C.
520
visualizações
0
curtidas
Quem viu também curtiu
Veja mais
G.C.T.S. - Em Tratamento
ORTODONTIA
Veja mais
Veja mais
F.H.P.F. (Cirurgia Ortognática) - Em tratamento
ORTODONTIA
Veja mais
Veja mais
N.M.B.
ORTODONTIA
Veja mais