PÁGINA PRINCIPAL
CASOS
BLOG
CONTATO
'
PÁGINA PRINCIPAL
CASOS
BLOG
CONTATO
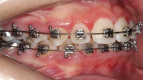
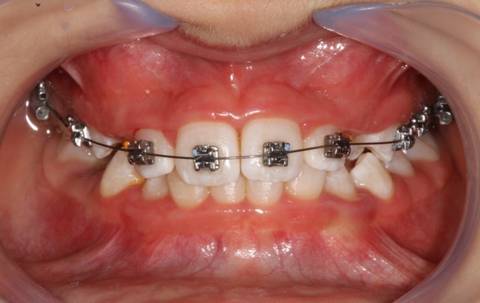
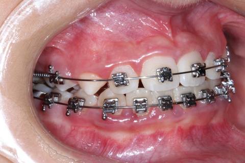
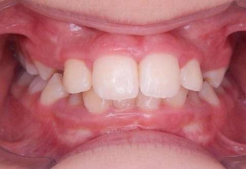
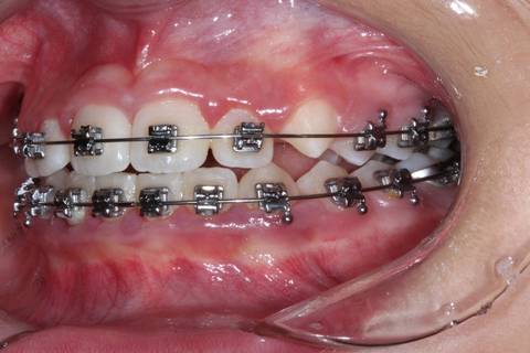
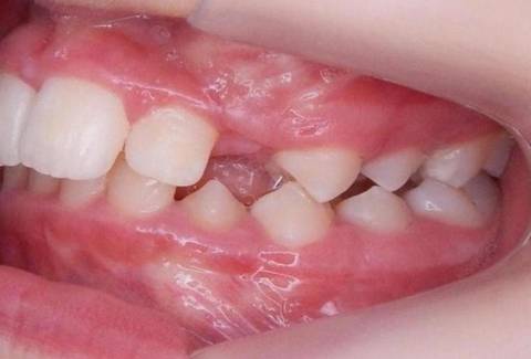
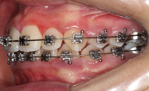
ORTODONTIA
11/Janeiro/2018
R.D.I.B.
486
visualizações
0
curtidas
Quem viu também curtiu
Veja mais
J.M.
ORTODONTIA
Veja mais
Veja mais
G.N.M.
ORTODONTIA
Veja mais
Veja mais
J.A.H.J.
ORTODONTIA
Veja mais