PÁGINA PRINCIPAL
CASOS
BLOG
CONTATO
'
PÁGINA PRINCIPAL
CASOS
BLOG
CONTATO
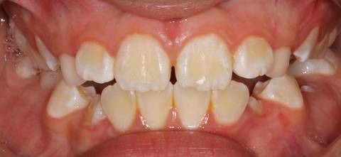
ORTODONTIA
N.M.B.
603
visualizações
0
curtidas
Quem viu também curtiu
Veja mais
F.S.L.
ORTODONTIA
Veja mais
Veja mais
D.S.M.N. - Em Tratamento
ORTODONTIA
Veja mais
Veja mais
T.A.G.
ORTODONTIA
Veja mais