PÁGINA PRINCIPAL
CASOS
BLOG
CONTATO
'
PÁGINA PRINCIPAL
CASOS
BLOG
CONTATO
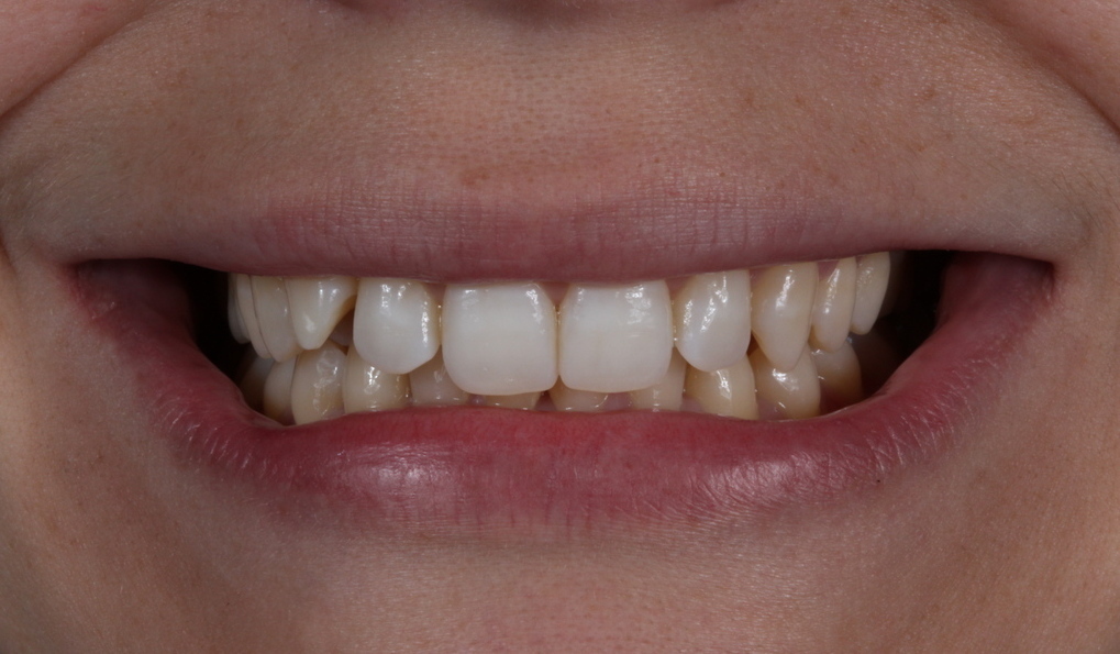
ORTODONTIA
J.M.
419
visualizações
0
curtidas
Quem viu também curtiu
Veja mais
G.C.T.S. - Em Tratamento
ORTODONTIA
Veja mais
Veja mais
F.S.L.
ORTODONTIA
Veja mais
Veja mais
L.C.B.S.
ORTODONTIA
Veja mais