PÁGINA PRINCIPAL
CASOS
BLOG
CONTATO
'
PÁGINA PRINCIPAL
CASOS
BLOG
CONTATO
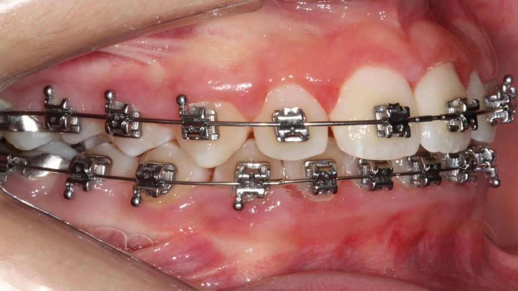
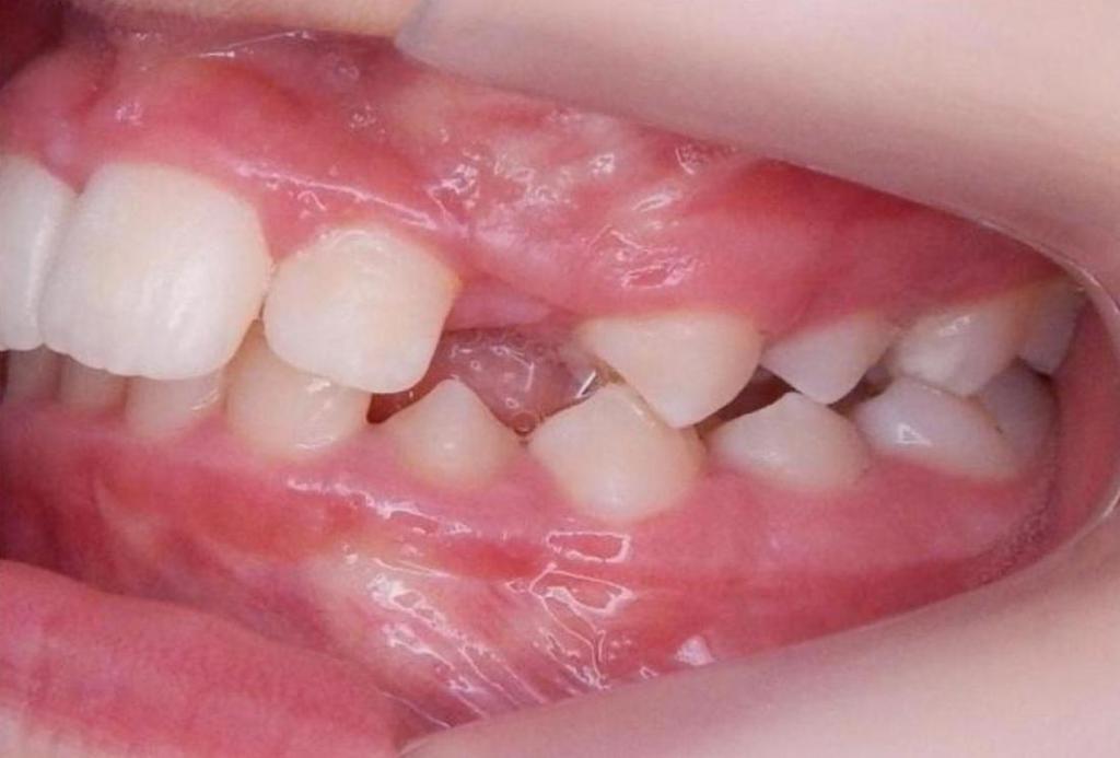
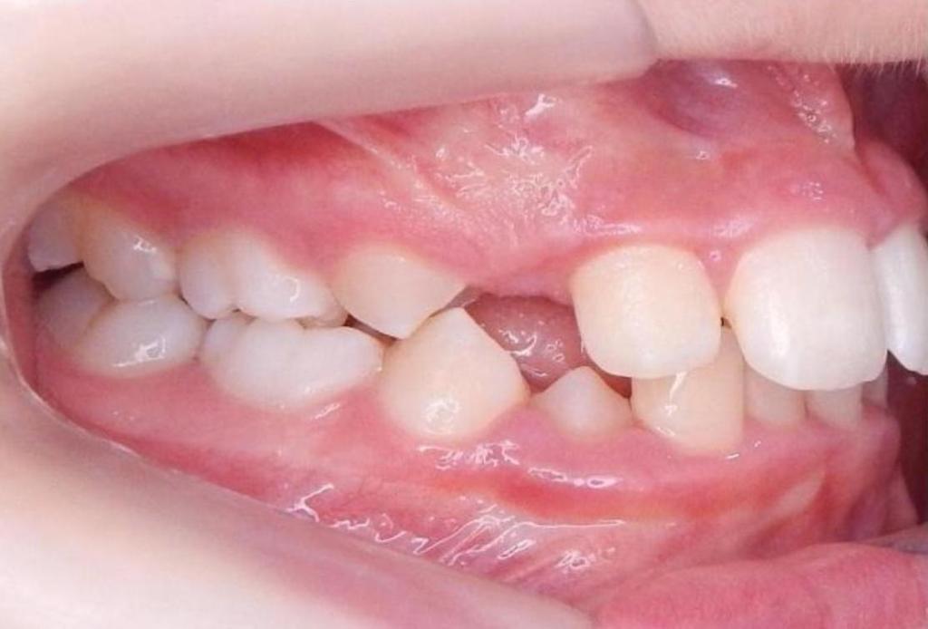
ORTODONTIA
R.D.I.B.
457
visualizações
0
curtidas
Quem viu também curtiu
Veja mais
A.D.F.
ORTODONTIA
Veja mais
Veja mais
N.A.B.
ORTODONTIA
Veja mais
Veja mais
M.A.B. - Em Tratamento
ORTODONTIA
Veja mais