PÁGINA PRINCIPAL
CASOS
BLOG
CONTATO
'
PÁGINA PRINCIPAL
CASOS
BLOG
CONTATO
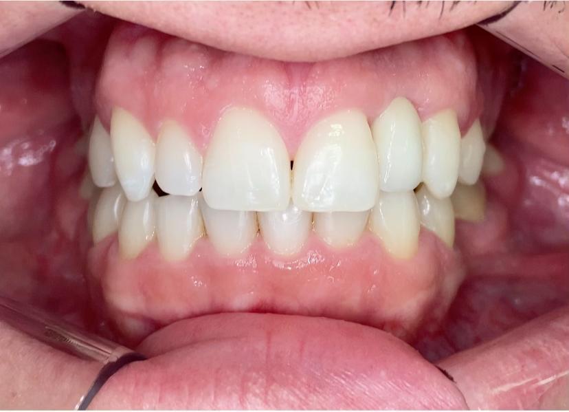
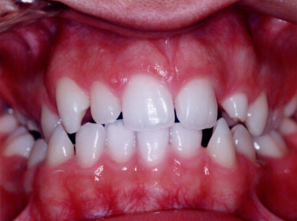
ORTODONTIA
F.L.P.
428
visualizações
0
curtidas
Quem viu também curtiu
Veja mais
R.C.R.L.
ORTODONTIA
Veja mais
Veja mais
G.C.T.S. - Em Tratamento
ORTODONTIA
Veja mais
Veja mais
P.H.D.O.
ORTODONTIA
Veja mais