PÁGINA PRINCIPAL
CASOS
BLOG
CONTATO
'
PÁGINA PRINCIPAL
CASOS
BLOG
CONTATO
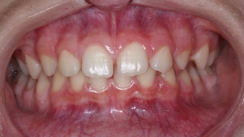
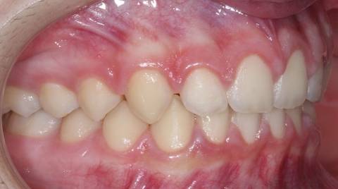
ORTODONTIA
A.B.M.O.
480
visualizações
0
curtidas
Quem viu também curtiu
Veja mais
A.S.P.
ORTODONTIA
Veja mais
Veja mais
F.L.P.
ORTODONTIA
Veja mais
Veja mais
J.A.H.J.
ORTODONTIA
Veja mais