PÁGINA PRINCIPAL
CASOS
BLOG
CONTATO
'
PÁGINA PRINCIPAL
CASOS
BLOG
CONTATO
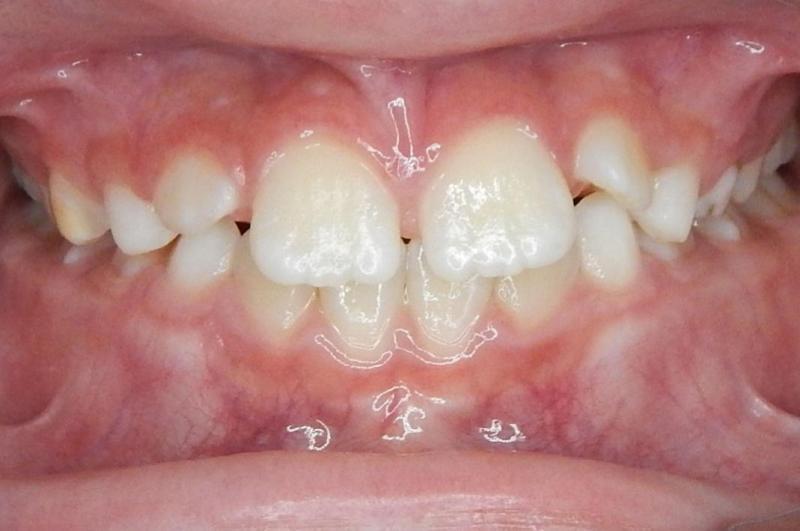
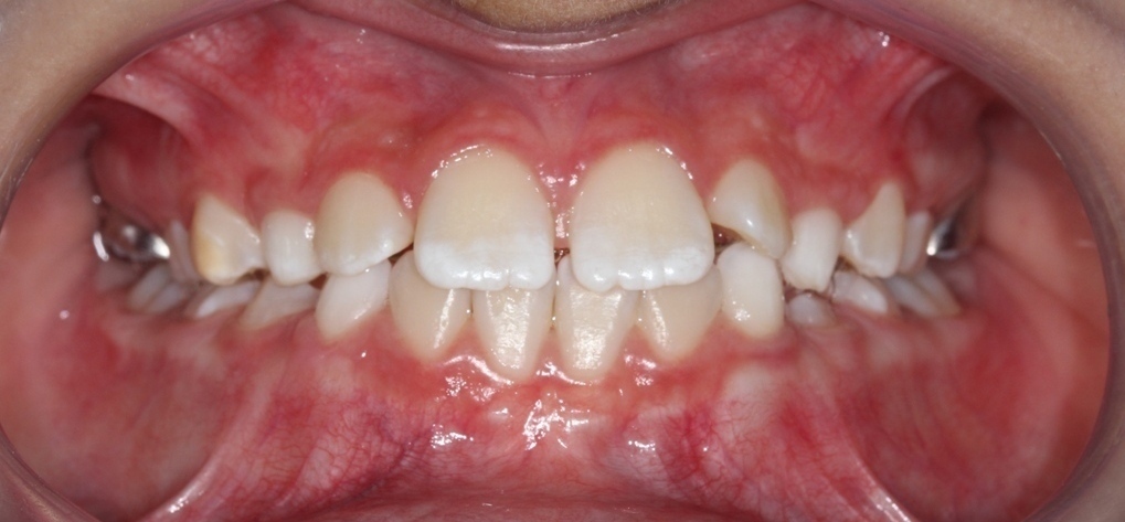
ORTODONTIA
I.C.G.
391
visualizações
0
curtidas
Quem viu também curtiu
Veja mais
M.A.B. - Em Tratamento
ORTODONTIA
Veja mais
Veja mais
D.S.M.N. - Em Tratamento
ORTODONTIA
Veja mais
Veja mais
F.C.
ORTODONTIA
Veja mais