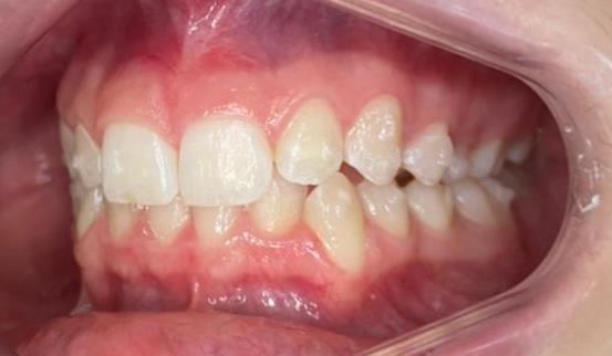
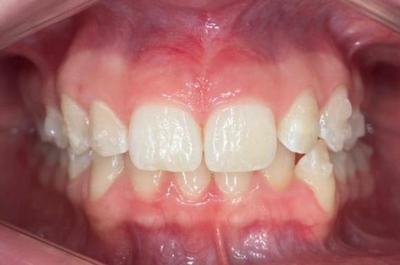
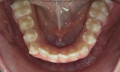
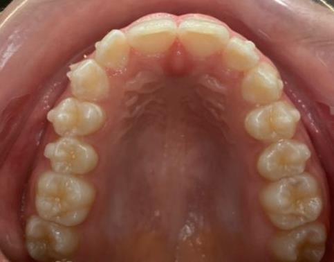
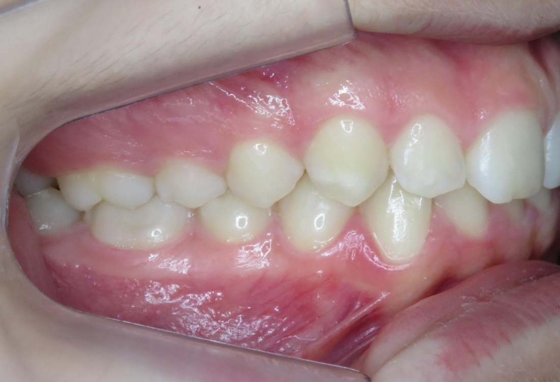
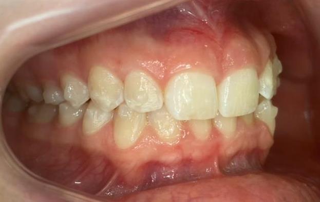
INVISALIGN F.R.V. 487 visualizações 0 curtidas Frontal Lateral Direita Lateral Esquerda Oclusal Maxila Oclusal Mandíbula