PÁGINA PRINCIPAL
CASOS
BLOG
CONTATO
'
PÁGINA PRINCIPAL
CASOS
BLOG
CONTATO
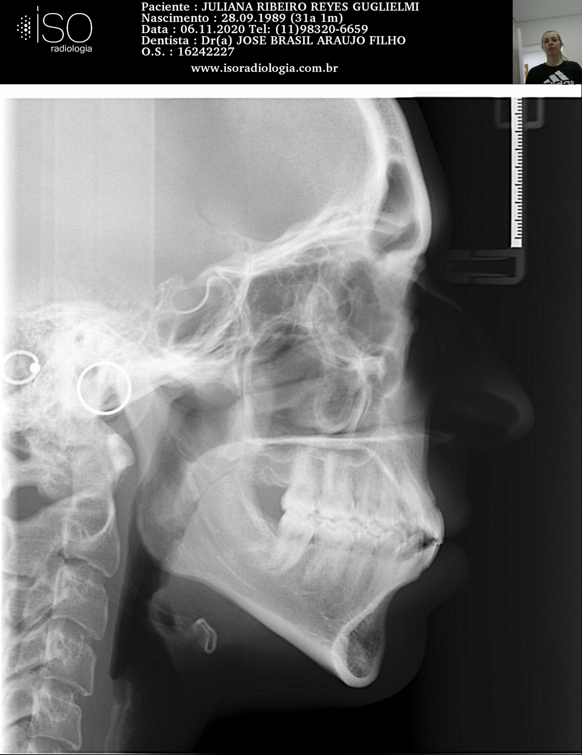
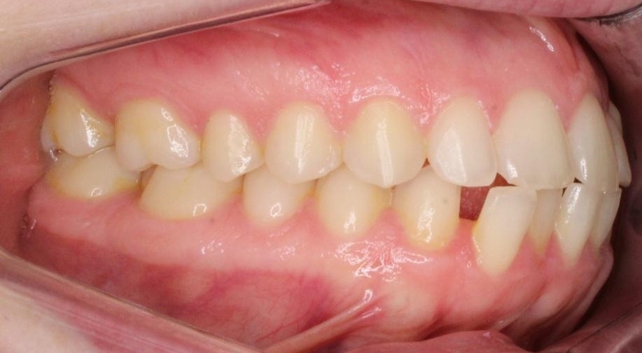
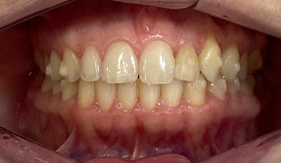
INVISALIGN
J.R.R.G.
533
visualizações
0
curtidas
Quem viu também curtiu
Veja mais
J.C.P.
INVISALIGN
Veja mais
Veja mais
S.S.G.
INVISALIGN
Veja mais
Veja mais
L.F.S.P.
INVISALIGN
Veja mais