PÁGINA PRINCIPAL
CASOS
BLOG
CONTATO
'
PÁGINA PRINCIPAL
CASOS
BLOG
CONTATO
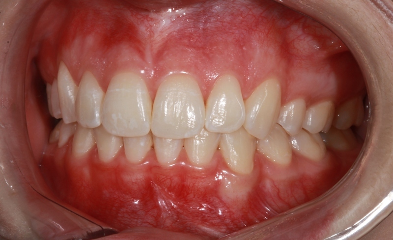
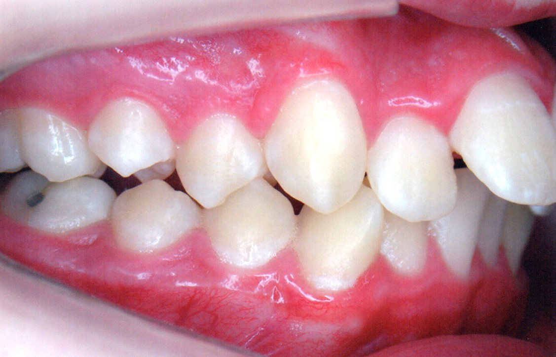
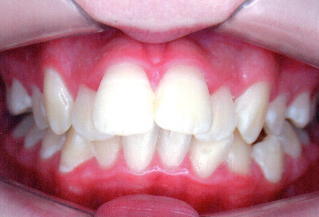
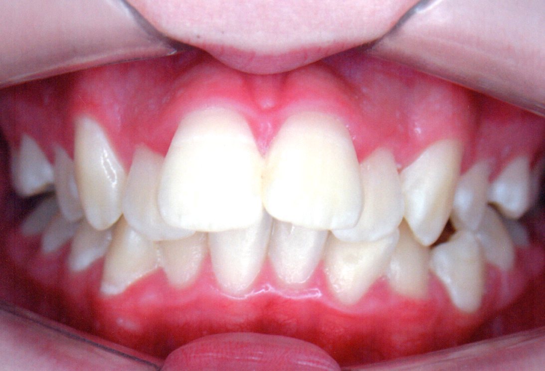
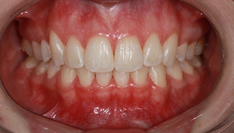
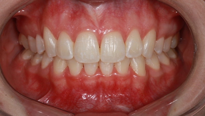
ORTODONTIA
Odontomania
18/Janeiro/2010
Beatriz Cottet
530
visualizações
0
curtidas
Quem viu também curtiu
Veja mais
F.L.P.
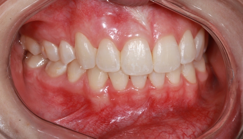
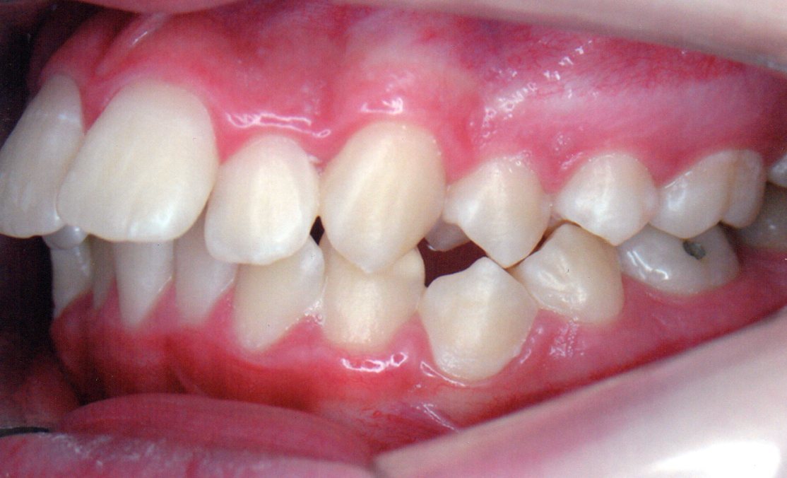
ORTODONTIA
Veja mais
Veja mais
G.C.T.S. - Em Tratamento
ORTODONTIA
Veja mais
Veja mais
N.M.B.
ORTODONTIA
Veja mais