PÁGINA PRINCIPAL
CASOS
BLOG
CONTATO
'
PÁGINA PRINCIPAL
CASOS
BLOG
CONTATO
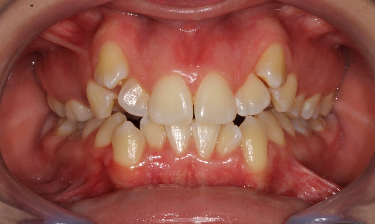
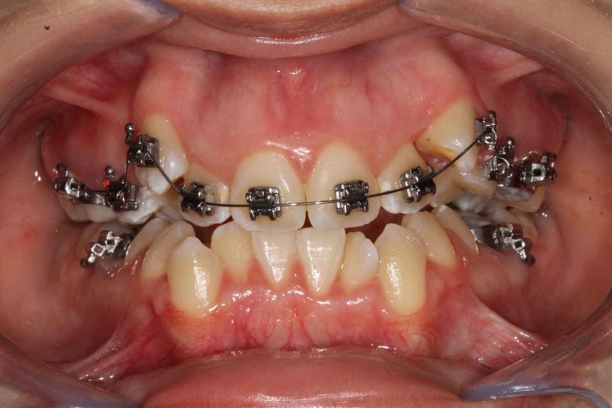
ORTODONTIA
B.P.M.
417
visualizações
0
curtidas
Quem viu também curtiu
Veja mais
M.A.B. - Em Tratamento
ORTODONTIA
Veja mais
Veja mais
P.C.O. (Cirurgia Ortognática em Tratamento)
ORTODONTIA
Veja mais
Veja mais
A.S.P.
ORTODONTIA
Veja mais