PÁGINA PRINCIPAL
CASOS
BLOG
CONTATO
'
PÁGINA PRINCIPAL
CASOS
BLOG
CONTATO
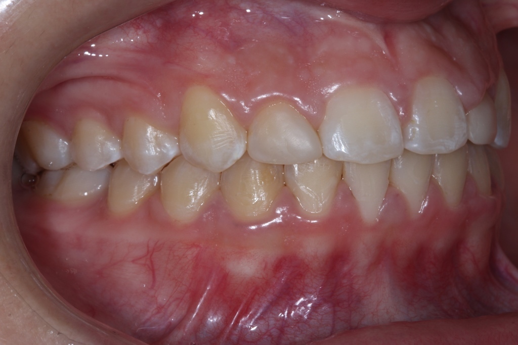
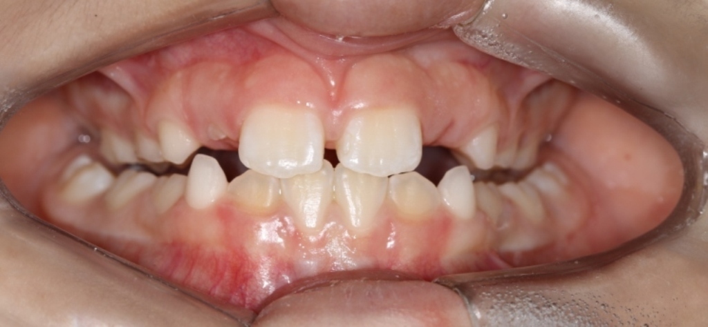
ORTODONTIA
A.D.F.
519
visualizações
0
curtidas
Quem viu também curtiu
Veja mais
P.C.O. (Cirurgia Ortognática em Tratamento)
ORTODONTIA
Veja mais
Veja mais
M.E.F.
ORTODONTIA
Veja mais
Veja mais
J.A.H.J.
ORTODONTIA
Veja mais