PÁGINA PRINCIPAL
CASOS
BLOG
CONTATO
'
PÁGINA PRINCIPAL
CASOS
BLOG
CONTATO
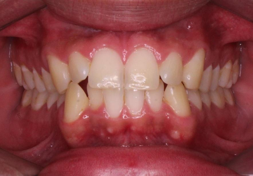
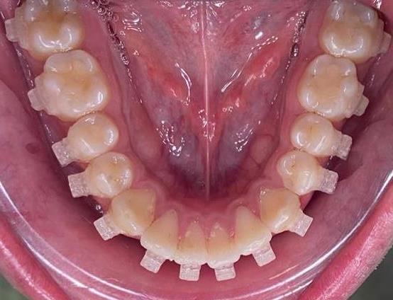
ORTODONTIA
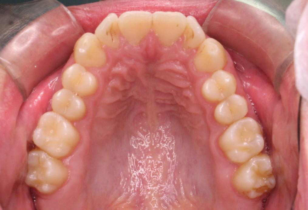
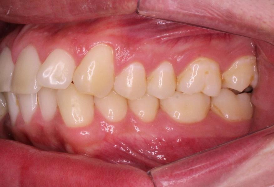
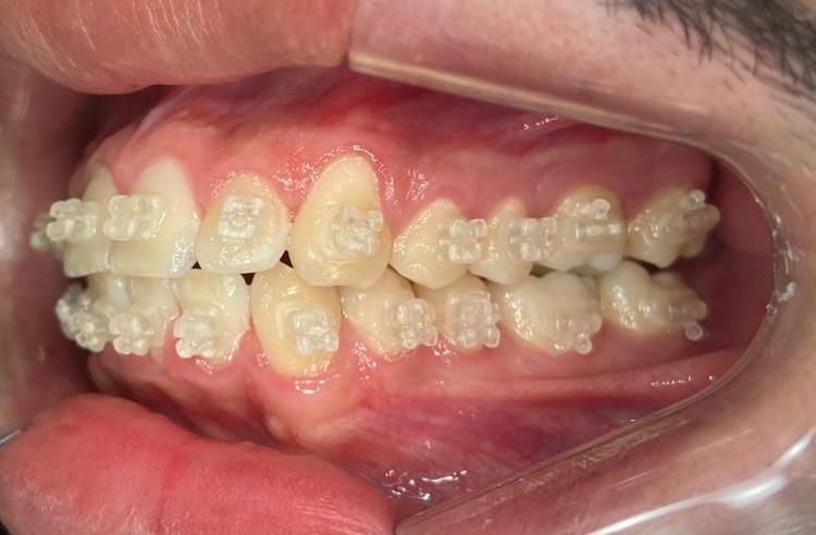
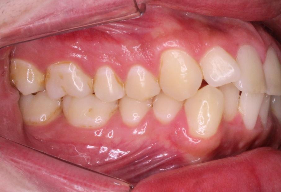
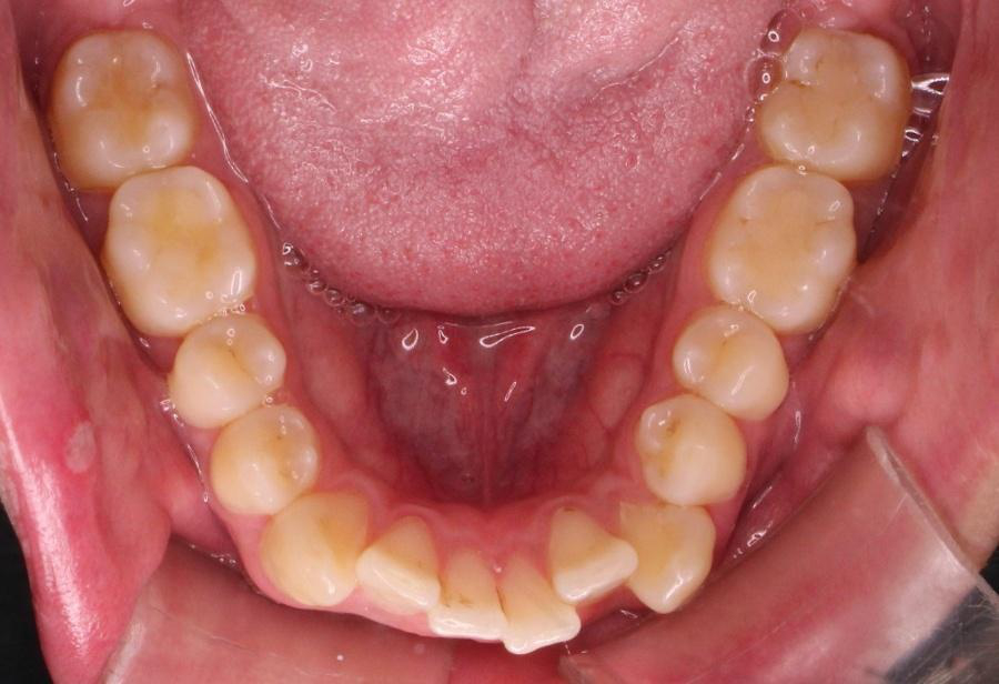
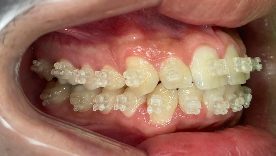
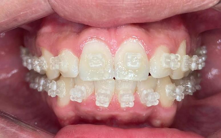
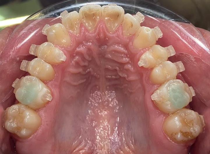
L.C.R.
395
visualizações
0
curtidas
Quem viu também curtiu
Veja mais
P.C.O. (Cirurgia Ortognática em Tratamento)
ORTODONTIA
Veja mais
Veja mais
A.F.M.R.
ORTODONTIA
Veja mais
Veja mais
G.N.M
ORTODONTIA
Veja mais