PÁGINA PRINCIPAL
CASOS
BLOG
CONTATO
'
PÁGINA PRINCIPAL
CASOS
BLOG
CONTATO
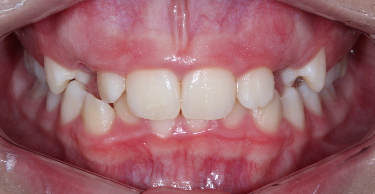
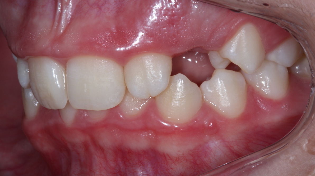
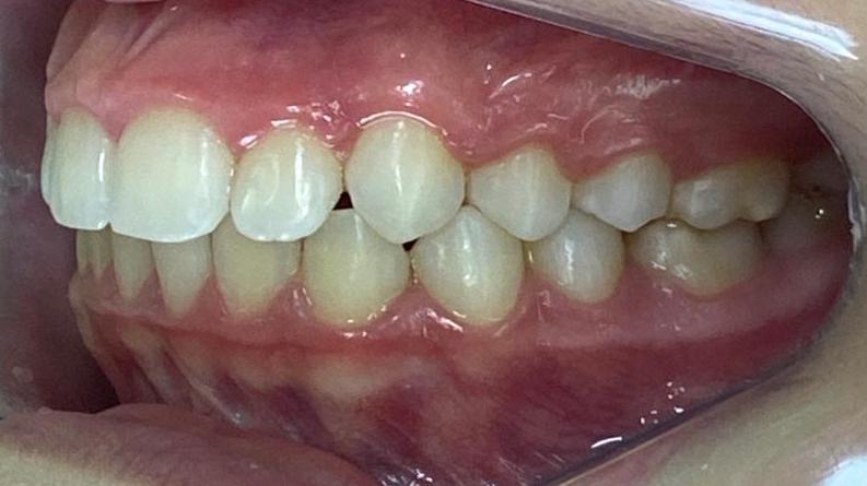
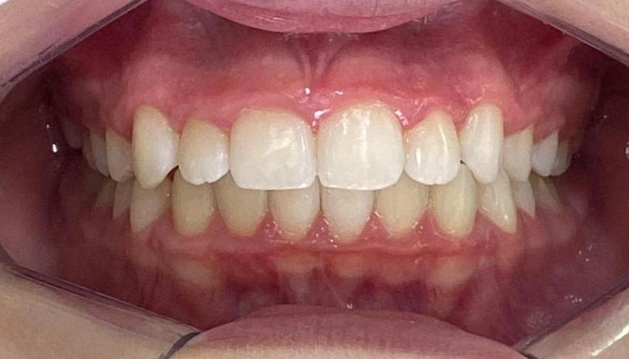
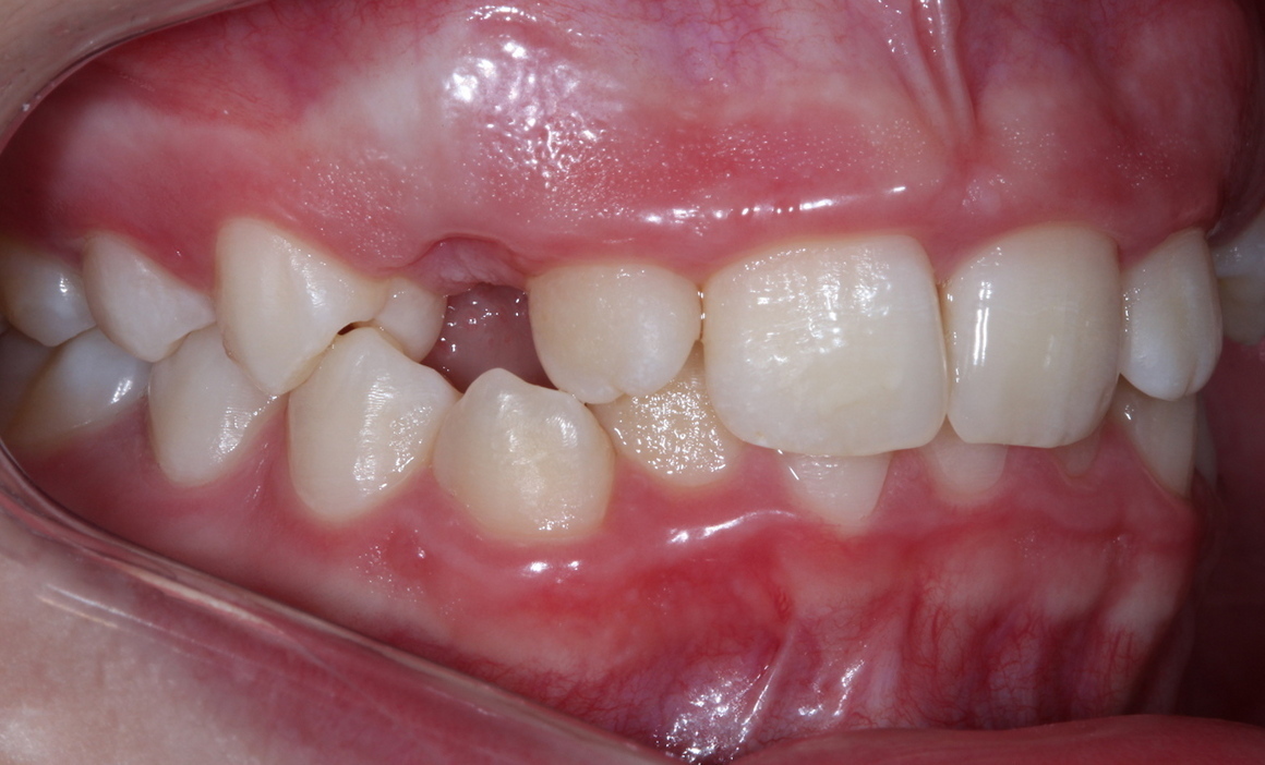
ORTODONTIA
G.N.M
423
visualizações
0
curtidas
Quem viu também curtiu
Veja mais
F.H.P.F. (Cirurgia Ortognática) - Em tratamento
ORTODONTIA
Veja mais
Veja mais
Beatriz Cottet
ORTODONTIA
Odontomania
Veja mais
Veja mais
G.A.S. (Em tratamento)
ORTODONTIA
Veja mais