PÁGINA PRINCIPAL
CASOS
BLOG
CONTATO
'
PÁGINA PRINCIPAL
CASOS
BLOG
CONTATO
ORTODONTIA
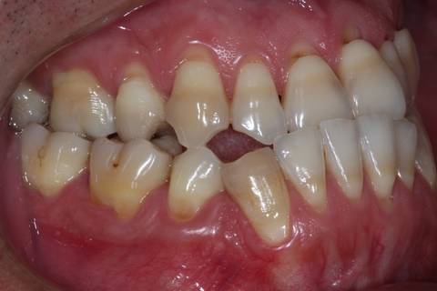
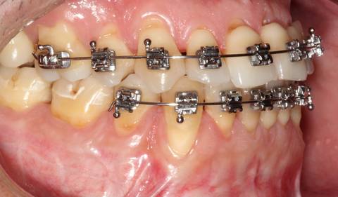
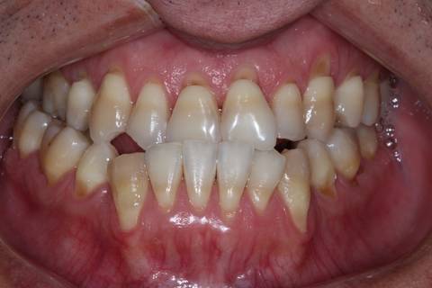
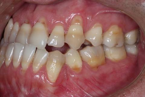
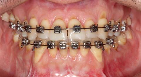
P.C.O. (Cirurgia Ortognática em Tratamento)
829
visualizações
0
curtidas
Quem viu também curtiu
Veja mais
A.C.C.S.
ORTODONTIA
Veja mais
Veja mais
J.A.H.J.
ORTODONTIA
Veja mais
Veja mais
M.D.F.
ORTODONTIA
Veja mais