PÁGINA PRINCIPAL
CASOS
BLOG
CONTATO
'
PÁGINA PRINCIPAL
CASOS
BLOG
CONTATO
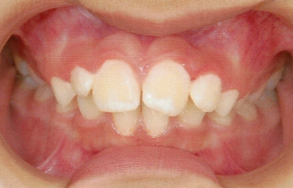
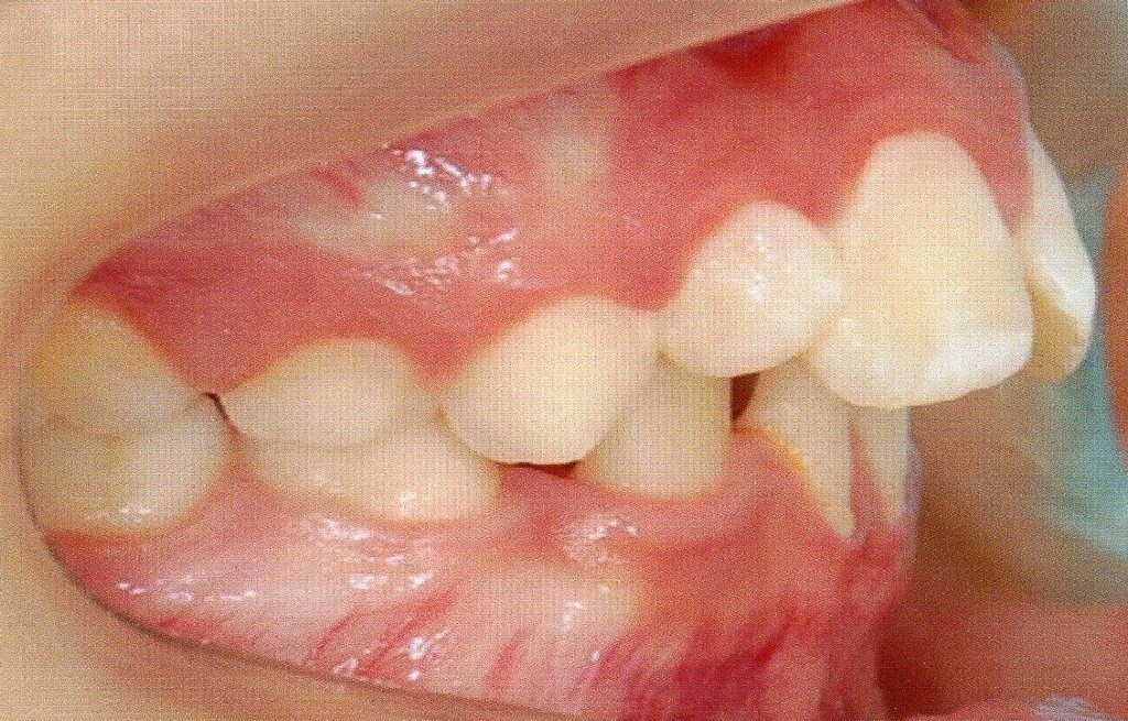
ORTODONTIA
11/Novembro/2019
A.S.P.
569
visualizações
0
curtidas
Quem viu também curtiu
Veja mais
F.C.F.
ORTODONTIA
Veja mais
Veja mais
G.C.T.S. - Em Tratamento
ORTODONTIA
Veja mais
Veja mais
F.G.M.
ORTODONTIA
Veja mais